耳鼻咽喉科/アレルギー科耳鼻咽喉科/アレルギー科

トップ診療科目耳鼻咽喉科/アレルギー科

主な診療内容

 耳鼻咽喉科はその名の通り、みみ、はな、のどの疾患をあつかう診療科です。体内と体外の境目に位置し、細菌やウイルス、空気中の異物などが体内に侵入する最初の部位です。このため、細菌やウイルスによる『炎症性疾患』や空気中の異物による『アレルギー反応』が起こりやすいといえます。また、聴覚、平衡感覚、嗅覚、味覚など多くの感覚器を備えています。さらに、咽喉頭癌などの悪性腫瘍例も散見されます。
 当科では、患者の皆さまの”主訴”と”病歴”をしっかり把握し、必要な検査や処置を効率よく進めていくよう心がけています。

・慢性中耳炎
 耳漏(みみだれ)を繰り返す慢性中耳炎症例には、鼓室形成術を念頭に置いて治療を進めていきます。中耳炎の感染源となり得る箇所を外科的に清掃し、音を伝える小さな骨(耳小骨)の動きを改善させ、鼓膜の穿孔を閉鎖することによって、感染の再発防止と聴力の回復に繋げます。

・アレルギー性鼻炎
 国民病とも呼ばれるアレルギー性鼻炎には、投薬治療を主軸に治療を進めます。アレルギー性鼻炎に罹患している方の約半数に副鼻腔炎(俗にいう蓄膿症)が合併しているため、他の疾患で既に服用している薬剤との組み合わせを考慮し、安心して服用できる投薬内容を選択します。

・のどの違和感
 のどの違和感を自覚するケースの中に、咽頭や喉頭の癌病変が隠れていることがあります。当科では、喉頭ファイバーのみならず、食道内視鏡、造影CT、MRIなどの必要な検査を効率よく進めて参ります。万が一、のどに腫瘍性病変が見つかった場合でも、速やかに組織採取を行い、病理組織診断確定までの期間が最短となるよう心がけます。データを迅速に揃えた上で、検査データを含む診療情報を、より大規模な病院へ提供します。当科で検査を効率的に進め、データを出しておくことで、大規模病院で治療が開始されるまでの期間を著しく短縮することが期待できます。

・急性炎症性疾患、突発性難聴、顔面神経麻痺
 急性扁桃炎を代表とする急性炎症性疾患、突発性難聴、顔面神経麻痺など、入院が望ましい疾患に対しては、入院の上、治療を行います。どうしても入院することが困難な場合でも、外来通院で点滴治療を行うことができます。

・その他
 その他にも、耳鼻咽喉科領域全般の疾患や、耳鼻咽喉科に関するお子様の診察・治療も行っています。

以上のように、当科は”クリニック”と”大規模な病院”の架け橋となるような存在であることを目標としています。みみ、はな、のどに異常を感じたら、些細なことでもご相談ください。

受付時間

月・火・水・金曜日: 午前 9:00 〜 午前 12:00
午後 2:00 〜 午後 5:30
木・土曜日: 午前 9:00 〜 午前 12:00

休診日 / 日・祝祭日

※毎週火曜日は手術日となります。手術終了次第、外来診察開始となります。

外来診察表

耳鼻咽喉科予定表

※診療予定ですので、お知らせ無しで変更になる場合もあります。

※ご不明な点は受付にお問い合わせください。

※お電話でのお問い合わせは、TEL. 093-612-3100 まで。

64列マルチスライスCT

最新のマルチスライスCTでより安全な精密検査が受けられます。

従来よりも検査時間が大幅に短縮されました。

2024年3月にCT装置を更新いたしました。
最新の深層学習などの新しいAI技術を採用した、64列128スライスCTスキャナ(富士 フイルムヘルスケア株式会社製「CT装置 Supria Optica」)を導入し、以前よりも短い時間で高画質の撮像が可能になりました。

この検査では、患者様が寝台に横になるだけで、苦痛なく頭部や胸部・腹部の断層像 (輪切り)が鮮明に撮れます。 とくに、らせん状に連続してデータを収集することができ(ヘリカルスキャン)従来の装置より広範囲の検査が行え、 脳出血・脳梗 塞・脳腫瘍・頭部外傷から胸部疾患および腹部臓器(肝・胆・膵・腎・膀胱・その他)疾患にいたるまで、 全身の診断が可能です。

手VR(骨描出)

手VR(軟部描出)

手VR(皮膚面描出)

肝動脈CTA(MIP)

肝動脈CTA(VR)

肺VR

腰椎VR

膝関節VR

胸腹部VR

大動脈3D-CTA
(胸部大動脈瘤、腹部大動脈瘤 例)

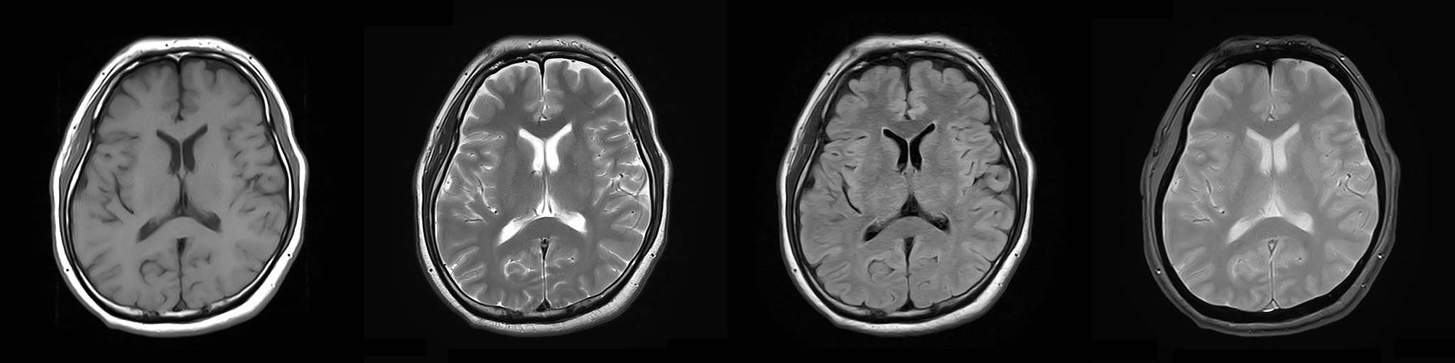
MRI(磁気共鳴画像)装置

2022年2月にMRI装置を更新いたしました。
1.5TのMIR装置(富士フイルムヘルスケア株式会社製「MRイメージング装置 ECHELON Smart」)を導入し、以前よりも短い時間で高画質の撮像が可能になりました。

MRIは体内の断面像を縦、横、ナナメから人体に悪影響を与えずに見ることが出来る装置です。わずかな病変も見逃さない鮮明な画像は腫瘍などの早期発見や健診に威力を発揮します。薬品を全く用いずに血管撮影等が出来るので、患者さんは動かずに横になるだけで苦 痛なく精密検査が受けられます。

検査をご希望される方は医師へお気軽におたずね下さい。

MRA
頭部

T1強調像 / T2強調像 / FLAIR像 / T2*強調像
頭部

T2強調像 / T2*強調像 / プロトン密度強調像

担当医師

耳鼻咽喉科/アレルギー科
  • 大淵 豊明(診療部長)
  •   資格等:耳鼻咽喉科専門医、補聴器相談医、医学博士(甲)
      出身校:
       1997年3月:久留米大学附設高校 卒
       2003年3月:産業医科大学 医学部 医学科 卒