院内設備院内設備

トップ院内設備

フロア案内

6F 理事室
栄養事務室 / 厨房 / 従業員食堂
5F ナースステーション / カウンセリングルーム
食堂 / 談話室 / 浴室
一般病棟 501〜512
4F 手術室 / 中央材料室
医薬品情報管理室
院長室 / 医局 / 医師当直室
看護師長室 / ミーティングルーム
3F ナースステーション / 地域連携室 / 当直室
食堂 / 談話室 / 浴室
回復期リハビリテーション病棟 301〜311
2F リハビリテーションルーム / 言語聴覚療法室
ナースステーション / 食堂 / 談話室 / 浴室
回復期リハビリテーション病棟 201〜211
1F 総合受付 / 会計 / 待合ロビー / 薬局 / 相談室
内科 / 脳神経内科 / 循環器内科 / 整形外科
耳鼻咽喉科・アレルギー科 /小児科
歯科・歯科口腔外科・小児歯科
皮ふ科 / MRI室 / CT室 / X線室
診療情報管理室 / 事務室

玄関

ロビー

ナースステーション

X線室

処置室

外来リハビリテーションルーム

手術室

多目的に利用可能な手術室(クリーンルームクラス1000 ISO6)を1室備えてい ます。
主に耳鼻咽喉科・整形外科・皮ふ科領域にて安全な手術が出来るように維持管理を行っています。

リハビリテーションルーム

余裕のあるスペースで快適なリハビリを行うことが出来ます。

DEXA(全身型骨密度測定器)

当院の骨密度検査は、最新式の検査法(DEXA法)です。全身型骨密度測定器(米国ホロジック社Discovery)を導入しており腰椎・大腿骨等の骨密度測定が10分~20分程度の測定時間で正確なデータを得ることができます。痛みも無く骨粗鬆症の診断、治療効果の判定が正確に可能です。

お食事

入院中でも、少しでもおいしい食事を楽しんでいただけるように、病状に合わせ、管理栄養士がひとりひとりの栄養バランスを考え、適時適温にてお食事をご提供しています。

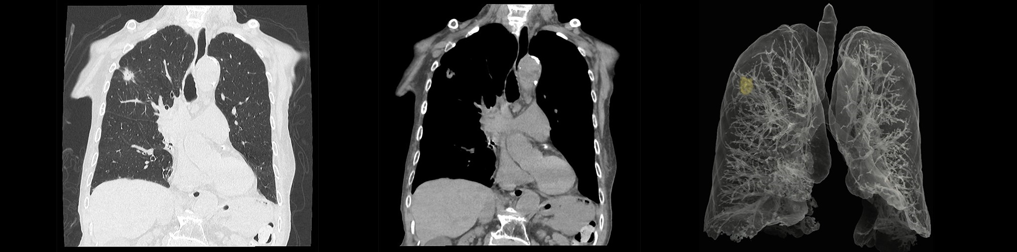
64列マルチスライスCT

最新のマルチスライスCTでより安全な精密検査が受けられます。

従来よりも検査時間が大幅に短縮されました。

2024年3月にCT装置を更新いたしました。
最新の深層学習などの新しいAI技術を採用した、64列128スライスCTスキャナ(富士 フイルムヘルスケア株式会社製「CT装置 Supria Optica」)を導入し、以前よりも短い時間で高画質の撮像が可能になりました。

この検査では、患者様が寝台に横になるだけで、苦痛なく頭部や胸部・腹部の断層像 (輪切り)が鮮明に撮れます。 とくに、らせん状に連続してデータを収集することができ(ヘリカルスキャン)従来の装置より広範囲の検査が行え、 脳出血・脳梗 塞・脳腫瘍・頭部外傷から胸部疾患および腹部臓器(肝・胆・膵・腎・膀胱・その他)疾患にいたるまで、 全身の診断が可能です。

頭部

胸部

肺野

CTアンギオグラフィ

1.5テスラMRI(磁気共鳴画像)装置

2022年2月にMRI装置を更新いたしました。
1.5TのMRI装置(富士フイルムヘルスケア株式会社製「MRイメージング装置 ECHELON Smart」)を導入し、以前よりも短い時間で高画質の撮像が可能になりました。

MRIは体内の断面像を縦、横、ナナメから人体に悪影響を与えずに見ることが出来る装置です。わずかな病変も見逃さない鮮明な画像は腫瘍などの早期発見や健診に威力を発揮します。薬品を全く用いずに血管撮影等が出来るので、患者さんは動かずに横になるだけで苦 痛なく精密検査が受けられます。

検査をご希望される方は医師へお気軽におたずね下さい。

MRA
頭部

T1強調像 / T2強調像 / FLAIR像 / T2*強調像
頭部

T2強調像 / T2*強調像 / プロトン密度強調像

歯科用CT・パノラマ・デンタル撮影装置

車椅子のまま撮影可能な歯科用CT・パノラマ撮影・デンタル撮影装置

院内は全てバリアフリー。

車椅子のまま診療を受けられるように、院内全てをバリアフリー化しています。
被曝量の少ない3次元撮影が可能な歯科用CT・パノラマ撮影・デンタル撮影を導入しています。車椅子に乗ったままの撮影・検査も可能です。

CT撮影エリア

CT顎関節

CCDパノラマ
(CT+パノラマ複合機で撮影)

パノラマ顎関節4分割
CT+パノラマ複合機で撮影)

院内施設

リハビリテーション科 新生会デイケアセンター 居宅介護支援事業所 智美園ケアプランセンター